
General Dentistry in Arlington, VA
Complete Dental Care
Whether you need a routine filling or a complex restoration, Siranli Dental’s award-winning dentists and friendly staff ensure every visit is comfortable and focused on your long-term oral health. From the moment you arrive, you’ll receive attentive, personalized care in a welcoming environment.Tooth-Colored Fillings
Since many patients want to avoid noticeable dark fillings, we offer composite resin fillings that repair cavities, restore tooth structure and blend into your smile. The material is durable, metal-free and ideal for small to mid-size restorations.
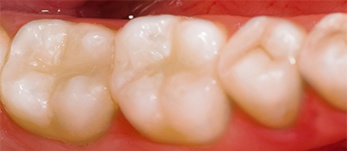
Dental Crowns
Crowns restore strength to cracked, fractured and weakened teeth. We craft and place beautiful crowns that fit perfectly and blend seamlessly with your natural teeth. Thanks to our in-house lab, your crown can be completed in just one visit.Dental Implants
Dental implants are a modern solution for missing or failing teeth. Each implant is carefully designed and precisely placed to complement your facial features and smile. With every detail customized to you, the results look beautiful and function perfectly.
Root Canal Therapy
If you experience tooth pain or infection, a root canal may be needed to save your natural tooth and prevent further complications. While root canals are famously dreaded, our gentle approach and modern techniques make the procedure comfortable and efficient.Dental Bridges
When a tooth or teeth are missing, a dental bridge can be an easy way to restore your bite, prevent teeth from shifting and return your confident smile. While we offer traditional bridges and dental implant-supported bridges, your dentist will discuss all options based on your specific case.
Advanced Dental Technology
Your comfort matters. That’s why we invest in technology that improves accuracy and makes your visit more pleasant. For example, the Cadent iTero™ 3D digital impression system eliminates the need for uncomfortable and messy putty trays. The iTero technology provides a perfect fit for crowns, bridges and Invisalign treatments, and helps you spend less time in your dentist’s chair.